Issue, April 2026

Newsletter

Conceptual Pediatrics

Are You Missing These Must-Watch Pediatrics Sessions?

If you’re preparing for exams or managing real clinical scenarios, this is something you cannot afford to ignore. 

Every day, hundreds of residents are upgrading their Pediatrics concepts on the eConceptual app. But here’s the truth—if you haven’t watched these high-yield sessions yet, you’re already missing a big chunk of what truly matters. 

These are not just lectures. These are exam-winning, concept-building, clinical-thinking sessions that can change how you approach Pediatrics. 

Here are the Top 5 Must-Watch Sessions on Conceptual Pediatrics that you should watch right now: 

1. TORCH Profile Explained: Full Form, MCQs & Trimester-wise Infections by Dr. Anand Bhatia

This is one of those topics that repeatedly appears in exams—and yet many get it wrong.

In this session, you’ll clearly understand:

– Complete TORCH breakdown (Toxoplasma, Others, Rubella, CMV, Herpes)

– Why Toxoplasma is a protozoa (not a virus)
– Most common TORCH infection (CMV)
– Most severe intrauterine infection (Rubella – 1st trimester)
– Trimester-wise infection patterns (high-yield for MCQs)
– Classic exam traps like HIV NOT being part of TORCH

Click Here to Watch

Trimester-wise Infections

2. Febrile Infection Related Epilepsy Syndrome (FIRES) Explained by Dr. Anand Bhatia

Rare, life-threatening, and extremely important.

This session simplifies FIRES in a way that sticks:

– What exactly FIRES is and why it happens

– Its association with febrile illness

– Why early recognition is critical

– Key clinical insights for exams and emergency practice

Click Here to Watch

FIRES

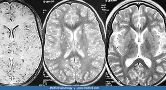
3. Why Does Neurocysticercosis Cause Seizures? | Stages & CT Signs Explained by Dr. Anand Bhatia

If you still get confused with NCC stages, this is the session you need.

What makes this session unmissable:

– VCGN classification (Vesicular → Colloidal → Granular → Nodular)

– The ONLY stage where seizures actually happen (very important)

– “Hole in Dot” sign – a classic exam favorite

– CT/MRI findings across all stages

– Simple memory tricks for long-term retention

Click Here to Watch

Neurocysticercosis

4. Confused Between Turner and Noonan Syndrome? Watch This Video by Dr. Anand Bhatia

A classic confusion area for every student.

This session will help you:

– Differentiate Turner vs Noonan in seconds

– Understand key features like webbed neck, shield chest, short stature

– Recall associated congenital heart diseases

– Avoid common MCQ mistakes

Click Here to Watch

Turner & Noonan Syndrome

5. PNB Mnemonic: Top Causes of Neonatal & Under-5 Mortality By Dr. Anand Bhatia

This is pure exam gold.

In this session, you’ll master:

– PNB mnemonic (Prematurity, Neonatal infections, Birth asphyxia)

– High-yield order for MCQs

– Antenatal steroid protocols (Betamethasone vs Dexamethasone)

– INSURE technique (star-mark concept)

– Key contraindications and clinical applications

Click Here to Watch

PNB Mnemonic

These sessions are just a glimpse. 

Conceptual Pediatrics is far more than a few videos, it’s a complete system designed to make your concepts crystal clear, your revision faster, and your exam performance stronger. 

If you’re serious about Pediatrics, don’t stop here. 

Download the eConceptual app and subscribe to Conceptual Pediatrics to unlock everything you need to stay ahead.

Because missing this… might cost you more than you think.

Shopping Basket

Hello! How can we help you?

Clinicon AI